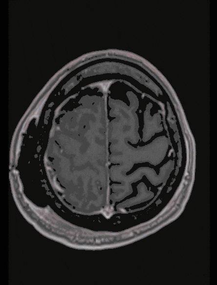
Oligodendroglioma
Oligodendrogliomas, similar to other gliomas, are usually benign tumors with slow growth. However, they can change and become malignant even after years. Therefore, complete microsurgical removal is usually considered.
Headaches, neurological disorders, and even seizures are among the most common symptoms leading to a diagnosis.
The best possible treatment for all tumor diseases will be discussed and individually determined within the framework of an interdisciplinary tumor board. You are welcome to contact our clinic for consultation.

