UNIVERSITY CLINIC FOR RADIOLOGY AND NUCLEAR MEDICINE

US, CT and MRI Guided Percutaneous Punctures (Punch Biopsy).

Our therapeutic/diagnostic offer further includes::

  • US-, CT- & MRI-guided tissue sampling (punch biopsy)
  • US, CT & MRI guided percutaneous drainage of fluid behavior (pleural drainage, biliomas, abscesses of various locations)
  • Biliary drainage (PTCD) with external or internal drainage

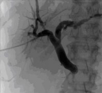
Externe Gallenwegsdrainage (PTCD) bei Gallenabflussstoerung infolge eines Pankreaskopftumors.

The above-mentioned minimally invasive procedures are performed under CT or ultrasound/X-ray control. It is thus possible to use small cannulas to take tissue samples from otherwise difficult-to-access sites in a minimally invasive manner or to place a drainage tube into small inflamed fluid areas with pinpoint accuracy.

 

Percutaneous transhepatic cholangiography (PTCD) is a procedure in which bile is drained from the liver to the outside into a bag. It is used in cases of dilatation of the bile ducts (cholestasis) that cannot be drained into the intestine by ERCP (endoscopic retrograde cholangiopancreatography) for technical reasons (tumor that cannot be passed, Z.n. surgery).

 

Usually, only local anesthesia is necessary for these procedures; if necessary, intravenous administration of painkillers and sedatives may be used.

 

The procedures are image-guided to precisely target the site of the disease and minimize the risk of injury to adjacent organs.

Depending on the risk profile, some of these procedures can be performed on an outpatient basis (e.g., some punctures), but most are performed in an inpatient setting.

If you have any further questions about the therapy, checking the indication, or making an appointment, our outpatient clinic for microtherapy in the Department of Radiology and Nuclear Medicine can be contacted by phone at +49 (391) 67-13199) or by e-mail atradiologie@med.ovgu.de 

Figure: External biliary drainage (PTCD) for biliary outflow obstruction due to pancreatic head tumor.

Last Modification: 20.02.2025 - Contact Person:

Sie können eine Nachricht versenden an: Webmaster
Sicherheitsabfrage:
Captcha
 
Lösung: